Nghiến răng ở trẻ (3-10 tuổi) là phản xạ vô thức siết chặt hoặc cọ xát hai hàm, tạo tiếng ken két khi ngủ. Tình trạng này do mọc răng, sai khớp cắn, thiếu canxi hoặc stress gây ra. Dù đa phần bé sẽ tự khỏi, nhưng cha mẹ cần biết cách can thiệp kịp thời để bảo vệ hàm răng của con.
Cùng Sakura Schools tìm hiểu chi tiết nguyên nhân và cách xử lý hiệu quả dưới đây!
Nghiến răng ở trẻ em là gì? Tại sao con lại nghiến răng?
Nghiến răng (Bruxism) thực chất là hiện tượng các răng siết chặt hoặc chà xát vào nhau một cách hoàn toàn vô thức. Tình trạng này rất phổ biến ở giai đoạn răng sữa và răng hỗn hợp, đặc biệt là các bé từ 1 đến 6 tuổi.
Cha mẹ đừng quá lo lắng nhé! Đây phần lớn chỉ là một “phản xạ” tự nhiên của cơ thể để phản ứng lại những thay đổi trong khoang miệng. Tình trạng này chưa hẳn là một “bệnh lý” nguy hiểm cần cấp cứu ngay lập tức.

3 Nhóm nguyên nhân chính khiến trẻ nghiến răng ken két
Để trị dứt điểm tình trạng này, phụ huynh cần “bắt trúng bệnh”. Hiện tượng con phát ra tiếng kêu ken két trong đêm thường xuất phát từ 3 nhóm nguyên nhân cốt lõi sau đây.
- Yếu tố sinh lý và cấu trúc hàm: Phổ biến nhất là do bé đang mọc hoặc thay răng, việc cọ xát giúp xoa dịu cảm giác bứt rứt. Ngoài ra, tình trạng sai khớp cắn khiến hai hàm không ăn khớp cũng tạo ra ma sát vô thức.
- Yếu tố dinh dưỡng và bệnh lý: Thiếu hụt canxi hoặc vitamin D3 có thể gây co giật cơ nhẹ, dẫn đến nghiến hàm. Đáng chú ý, độc tố từ nhiễm giun kim hoặc các rối loạn giấc ngủ (như ngưng thở khi ngủ) cũng kích thích phản xạ này.
- Yếu tố tâm lý: Căng thẳng từ áp lực học tập, thay đổi môi trường sống, hoặc vui chơi quá khích ban ngày khiến hệ thần kinh của con bị kích thích, dẫn đến stress và nghiến răng khi ngủ.
Tác hại nếu để bé nghiến răng kéo dài
Dù là phản xạ sinh lý, nhưng nếu tình trạng cọ xát diễn ra liên tục với cường độ mạnh, nó sẽ để lại những hậu quả nghiêm trọng cho sức khỏe răng miệng của trẻ.
- Tác hại vật lý: Sự ma sát liên tục làm bào mòn lớp men răng bảo vệ. Răng bé dễ bị sứt mẻ, trở nên nhạy cảm và ê buốt dữ dội khi ăn đồ ăn quá nóng hoặc quá lạnh.
- Tác hại chức năng: Cơ hàm phải hoạt động quá sức gây đau mỏi khớp thái dương hàm. Bé có thể phàn nàn về việc đau tai hoặc đau đầu nhức nhối mỗi khi thức dậy.
Đặc biệt, nếu không can thiệp kịp thời, hệ răng sữa bị mài mòn nghiêm trọng sẽ làm mất không gian chuẩn. Điều này ảnh hưởng trực tiếp đến việc định hướng mọc răng vĩnh viễn sau này của trẻ.

Khi nào cần đưa trẻ đi khám Nha sĩ ngay?
Mặc dù nhiều bé sẽ tự bỏ thói quen này khi lớn, nhưng cha mẹ tuyệt đối không được chủ quan. Hãy hành động ngay nếu nhận thấy con có các dấu hiệu bất thường và trầm trọng.
Các dấu hiệu báo động đỏ:
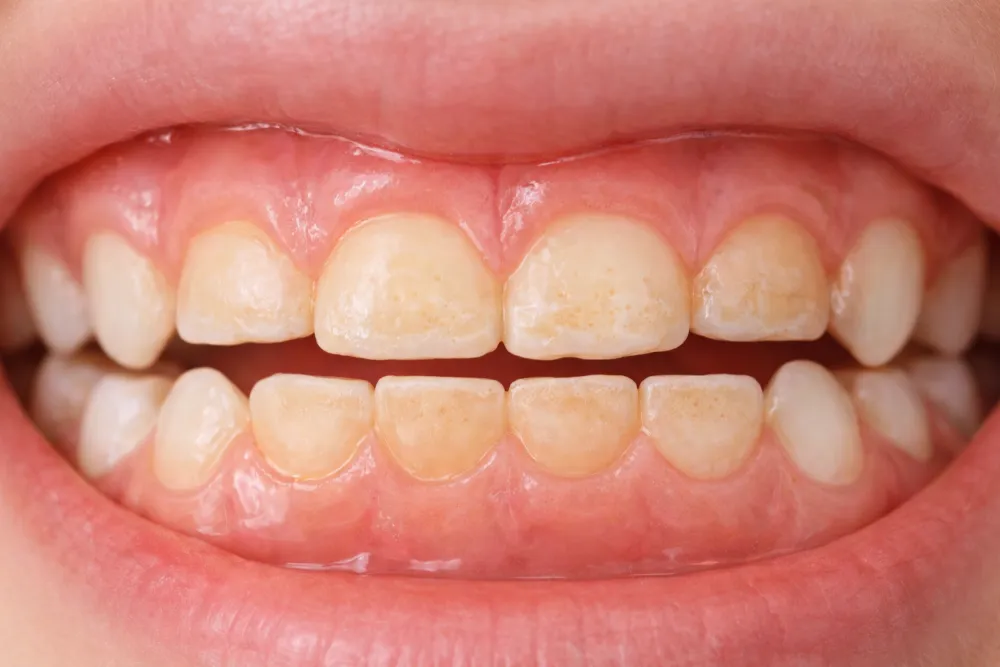
- Bề mặt răng mòn xỉn rõ rệt, thậm chí lộ lớp ngà răng màu vàng bên trong.
- Trẻ thường xuyên than đau nhức hàm, gặp khó khăn khi nhai thức ăn dai hoặc cứng.
- Âm thanh nghiến răng quá lớn, làm gián đoạn giấc ngủ của chính bé và gia đình.
- Răng có hiện tượng nứt vỡ, sứt mẻ hoặc lung lay bất thường không do thay răng.
Đừng đợi đến khi bé đau đớn mới bắt đầu lo lắng. Hãy hành động ngay! Đặt lịch hẹn với bác sĩ nha khoa nhi để kiểm tra tổng quát khớp cắn, đánh giá độ mòn của răng và thiết kế máng chống nghiến nếu cần thiết.
Hướng dẫn 5 cách khắc phục nghiến răng cho trẻ tại nhà
Khi phát hiện con có thói quen cọ xát răng trong đêm, ba mẹ không nên quá hốt hoảng. Dưới đây là hướng dẫn chi tiết 5 biện pháp khắc phục tại nhà cực kỳ an toàn, giúp bé thư giãn sâu và bảo vệ nụ cười rạng rỡ.
1. Đảm bảo “vệ sinh giấc ngủ” (Sleep Hygiene) khoa học
Môi trường ngủ đóng vai trò quyết định đến chất lượng giấc ngủ của trẻ. Ba mẹ hãy thiết lập một không gian thật yên tĩnh, sử dụng ánh sáng vàng dịu nhẹ để kích thích cơ thể sản sinh hormone melatonin tự nhiên.
Tuyệt đối hạn chế tối đa sự tiếp xúc với ánh sáng xanh. Không cho bé sử dụng điện thoại, tivi hay máy tính bảng ít nhất 1 đến 2 giờ trước khi lên giường. Điều này giúp não bộ không bị kích thích quá mức.
2. Massage thư giãn vùng mặt và cơ hàm
Liệu pháp massage là cách tuyệt vời để giải tỏa sự căng cứng cơ học tức thì. Trước giờ ngủ, mẹ hãy rửa sạch tay và dùng đầu ngón tay xoa bóp thật nhẹ nhàng vùng cơ hàm, thái dương của bé.
Hãy thực hiện các động tác vuốt ve chậm rãi từ mang tai trượt dọc xuống cằm. Duy trì thói quen này khoảng 5-10 phút mỗi tối sẽ giúp các bó cơ nhả giãn, giảm đáng kể tần suất siết hàm.
3. Chủ động giảm căng thẳng tâm lý cho con
Trẻ nhỏ cũng dễ bị stress bởi những thay đổi môi trường học tập hay mâu thuẫn với bạn bè. Những áp lực vô hình này là “thủ phạm” giấu mặt khiến hệ thần kinh của con căng thẳng, sinh ra phản xạ cọ xát răng.
Thay vì la mắng khi con làm sai, ba mẹ hãy kiên nhẫn lắng nghe. Dành 15 phút mỗi tối đọc truyện cổ tích, tâm sự hoặc cho bé tắm nước ấm để giải tỏa triệt để những lo lắng ban ngày.
4. Cân bằng dinh dưỡng và bổ sung đủ nước
Tình trạng mất nước nhẹ cũng có thể kích hoạt các phản xạ co thắt cơ vô thức. Do đó, ba mẹ cần nhắc nhở bé uống đủ nước lọc trong ngày, đồng thời hạn chế các loại nước ngọt có ga vào buổi tối.
Song song đó, hãy xây dựng thực đơn giàu khoáng chất thiết yếu. Tăng cường Canxi từ sữa, phô mai và Magie từ các loại hạt, rau xanh giúp hệ thần kinh thư giãn, giảm thiểu rủi ro co giật cơ hàm cục bộ.
5. Thăm khám nha sĩ và sử dụng máng chống nghiến
Nếu đã áp dụng các biện pháp trên mà tiếng kêu ken két không thuyên giảm, hãy đưa bé đến phòng khám nha khoa nhi uy tín. Bác sĩ sẽ kiểm tra trực tiếp khớp cắn và đánh giá chính xác độ mòn men răng.
Với những trẻ lớn, bác sĩ chuyên khoa có thể chỉ định đeo máng nhựa bảo vệ răng ban đêm. Khí cụ nha khoa chuyên dụng này sẽ tạo lớp đệm êm ái, ngăn chặn ma sát và bảo vệ hệ răng sữa tối đa.

Thực hư chuyện: Trẻ nghiến răng do thiếu Canxi hay bị giun sán?
Nhiều phụ huynh truyền tai nhau rằng trẻ phát ra tiếng ken két khi ngủ chắc chắn là do giun sán hoặc thiếu Canxi. Dưới góc độ y khoa hiện đại, thực hư quan niệm này ra sao?
Thực tế, với giun sán, y khoa chưa tìm thấy bằng chứng trực tiếp gây nghiến hàm. Tuy nhiên, độc tố từ giun kim gây ngứa ngáy hậu môn, làm trẻ khó ngủ, trằn trọc và từ đó kích hoạt phản xạ chà xát răng vô thức.
Về vấn đề vi chất, việc thiếu hụt Canxi hoặc Magie thực sự làm hệ thần kinh dễ bị kích động, gây co giật cơ nhẹ. Dù vậy, ba mẹ tuyệt đối không tự ý mua thuốc bổ sung canxi. Hãy đưa con đi xét nghiệm vi chất chuyên sâu nếu bé có kèm dấu hiệu đổ mồ hôi trộm, chậm lớn.
FAQs – Những câu hỏi thường gặp về nghiến răng ở trẻ?
Quá trình đồng hành cùng con khôn lớn luôn đầy rẫy những thắc mắc. Dưới đây là giải đáp nhanh cho 5 câu hỏi phổ biến nhất mà các bác sĩ nha khoa nhi thường nhận được.
Bé mọc răng có hay bị nghiến răng không?
Có. Khi nướu bị sưng đau do mọc răng sữa hoặc thay răng, bé thường có xu hướng cọ xát hai hàm vào nhau. Phản xạ tự nhiên này giúp con giảm bớt cảm giác ngứa ngáy và bứt rứt khó chịu.
Trẻ nghiến răng tới năm bao nhiêu tuổi thì hết?
Hầu hết trẻ em sẽ tự bỏ thói quen này khi hệ răng vĩnh viễn bắt đầu phát triển ổn định. Thông thường, tình trạng siết hàm khi ngủ sẽ chấm dứt hẳn khi bé bước vào giai đoạn từ 9 đến 10 tuổi.
Bệnh nghiến răng ở trẻ có di truyền không?
Nghiên cứu chỉ ra yếu tố di truyền có đóng góp một phần. Nếu cha hoặc mẹ có tiền sử nghiến răng trầm trọng khi ngủ, tỷ lệ con cái mắc phải tình trạng rối loạn vận động cơ hàm này sẽ cao hơn.
Máng chống nghiến có làm hỏng cấu trúc hàm của trẻ?
Hoàn toàn không. Máng chống nghiến ban đêm được thiết kế bằng nhựa mềm, ôm sát khuôn răng để hấp thụ lực nhai. Khí cụ này rất an toàn, không gây xô lệch hay cản trở sự phát triển xương hàm của bé.
Có mẹo dân gian nào chữa dứt điểm tình trạng này không?
Dân gian thường truyền miệng các mẹo như cho trẻ ăn đỗ đen hầm hay pín lợn. Tuy nhiên, các phương pháp này chưa được khoa học kiểm chứng. Ba mẹ nên ưu tiên áp dụng các biện pháp y khoa an toàn, hiện đại.
Nghiến răng ở trẻ phần lớn là phản xạ sinh lý tạm thời, nhưng ba mẹ tuyệt đối không được lơ là để tránh tổn thương men răng vĩnh viễn. Hãy áp dụng ngay các biện pháp can thiệp tại nhà nêu trên để bảo vệ nụ cười của bé. Nếu tình trạng kéo dài, ba mẹ hãy đặt lịch khám tại nha khoa uy tín ngay để được bác sĩ tư vấn giải pháp tốt nhất!